خضع قلة من الناجين من كوفيد-19 فقط في الصين وأوروبا لزرع رئتين، ومنح الجراحون في شيكاغو،أول أمس الأربعاء، رئتين جديدتين لشابة تعاني من تلف بالغ في رئتيها بسبب فيروس كورونا.
وكانت المريضة العشرينية على جهاز تنفس صناعي وجهاز قلب رئة خلال شهرين قبل عمليتها، الجمعة الماضية في مستشفى نورثويسترن التذكاري.
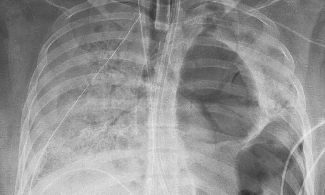
استغرقت العملية عشر ساعات صعبة لأن الفيروس ترك رئتيها مليئتين بالثقوب وانتشر إلى جدار الصدر تقريبا، وفقا للدكتور أنكيت بهارات الذي أجرى العملية أمس الأربعاء.
ووضعها الأطباء على الجهازين بينما يتعافى جسدها لكنهم قالوا إن فرصها في حياة طبيعية جيدة. وقال المدير الطبي لبرنامج زرع الرئة في المستشفى د. راد توميك، إنه "نتوقع أنها ستتعافى بالكامل".
لم تحدد هوية المريضة لكن بهارات قال إنها انتقلت إلى شيكاغو مؤخرا من كارولينا الشمالية لتكون مع صديقها.
وكانت بصحة جيدة قبلها لكن حالتها تدهورت سريعا بعد نقلها إلى المستشفى في أواخر نيسان/ أبريل. وانتظر الأطباء ستة أسابيع ليخلو جسمها من الفيروس قبل التفكير في زرع الرئة.
مثلت الرئة 7 بالمئة فقط من 40 ألف عملية زرع أعضاء في أميركا العام الماضي. وعادة ما يصعب العثور عليها كما ينتظر المرضى أسابيع على قائمة نقل الأعضاء.