الأخبار
مع فلسطين
القدس
سياسي
محلي
إسرائيليات
دولي
مقالات
تقارير
قصص صحفية
حوار
تقارير
تحقيقات
الاقتصاد
رياضة
رياضة
الرسالة سبورت
ميديا
مكتبة الفيديو
انفوجرافيك
بودكاست
كاريكاتير
منوعات
صحة وأسرة
ثقافة
تكنولوجيا
منوعات
الأخبار
مع فلسطين
القدس
سياسي
محلي
إسرائيليات
دولي
مقالات
تقارير
قصص صحفية
حوار
تقارير
تحقيقات
الاقتصاد
رياضة
رياضة
الرسالة سبورت
ميديا
مكتبة الفيديو
انفوجرافيك
بودكاست
كاريكاتير
منوعات
صحة وأسرة
ثقافة
تكنولوجيا
منوعات
ادخل كلمات البحث ...
^200 مثال: غزة العزة
ابدأ البحث
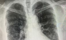
#ايطاليا
طبيب إيطالي: حالات تليف رئوي لدى بعض المتعافين من كورونا
صحة وأسرة
أمل جديد للبشرية ..لقاح لفيروس كورونا نجح مع الفئران
وفيات فيروس كورونا تتجاوز100 الف بالعالم
دولي
83 ألف وفاة في العالم بفيروس كورونا
دولي
الصين: الإصابات بفيروس كورونا ترتفع من جديد
دولي
نحو 43 ألف وفاة و860 ألف إصابة بفيروس "كورونا" حول العالم
دولي
<span class="text-danger">فيديو: </span>شاهد| كيف يمكن أن تواجه الجيوش كورونا؟
أخبـار مصورة
هذه أهم أخبار كورونا عربيا وعالميا خلال 24 ساعة
دولي
علماء يكتشفون تحورا خطيرا بكورونا
دولي
هل سئمت من الأخبار السيئة؟.. إليك 13 خبرا مفرحا عن فيروس كورونا
صحة وأسرة
"كورونا" يشل حركة العالم بعد تجاوز الوفيات الـ14 ألفا والإصابات الـ300 ألف
دولي
43 ألف شخص في الصين أصيبوا بكورونا دون ظهور أي أعراض
دولي
إصابة 10 فلسطينيين في ايطاليا بفيروس "كورونا"
دولي
مليار إنسان في العالم يخضعون للحجر المنزلي
دولي
بين استخفاف وتراخ.. هكذا تحولت إيطاليا لبؤرة كورونا الجديدة
دولي
إيطاليا.. وفاة 793 شخصا بفيروس كورونا خلال 24 ساعة
منوعات
إيطاليا تتجاوز الصين بوفيات كورونا قريبا.. والوباء ينهش إسبانيا
دولي
فيديو مرعب | الجيش الإيطالي ينقل بالشاحنات جثث الضحايا لحرقها
دولي
ارتفاع عدد الإصابات الجديدة بكورونا في ألمانيا 2801 حالة في يوم واحد
دولي
20 ألف إصابة جديدة بفيروس كورونا خلال يوم واحد
دولي
‹
1
2
3
4
›
عاجل