جراحون يستخرجون سمكة حية من رئة صبي

الرسالة نت – وكالات

أفادت صحيفة "صن" البريطانية بأن أطباء جراحة هنود أجروا مؤخراً عملية جراحية "فريدة"؛ لاستخراج سمكة صغيرة من رئة صبي.

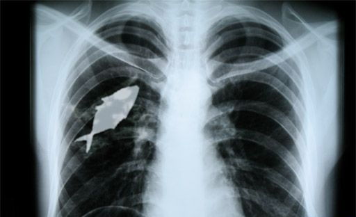
وكتبت الصحيفة "أن صبيا  هنديا  يبلغ من العمر 12 عاما ويدعى (أنيل باريلا) ابتلع صدفة سمكة صغيرة أثناء سباحته في إحد الأنهار، وسبق ان حدث ذلك للطفل مرات عدة، الا أن السمكة لم تندفع هذه المرة الى معدة الصبي ، وانما وصلت إلى رئته اليمنى، الامر الذي أسفر عن شعور الصبي بالاختناق والألم في الصدر، وعلى الفور نقله والداه الى المستشفى حيث خضع للتصوير بالأشعة، مما تبين ان داخل رئة الطفل سمكة حية".

واجرى الاطباء الهنود عملية جراحية عاجلة للصبي أنيل استمرت نحو 45 دقيقة وتكللت بنجاح، اذ تمكن الجراحون من استخراج السمكة، وهي مازالت على قيد الحياة.

واعترف الطبيب الذي نفذ العملية الجراحية بأنه لم يصادف خلال خبرته الطبية على مدى 20 عاما حالة نادرة كهذه.